【症例報告】主訴:前歯の隙間が気になる。以前から前歯の隙間聞になっており治したい。40代女性
治療期間 1年
費用 約50万
通院回数 20回
注意点
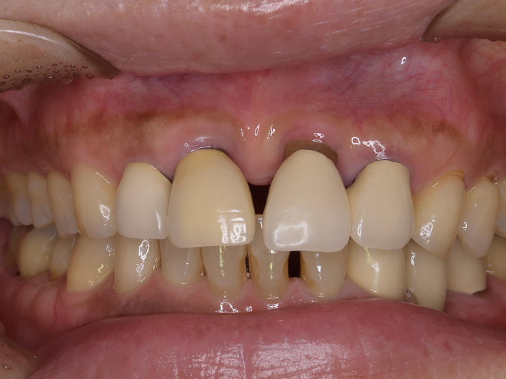
前歯同士の距離が離れており、そのまま補綴すると前歯が大きくなってしまうため、矯正治療で歯と歯の距離を縮める事と、歯茎が下がっているので、歯肉を移植してボリュームを出す必要がある。また矯正の後戻りを防ぐために繋げた被せ物で修復した。
079-288-66669:00-18:00(土午後16:00迄) [日・祝除く ]
治療期間 1年
費用 約50万
通院回数 20回
注意点
前歯同士の距離が離れており、そのまま補綴すると前歯が大きくなってしまうため、矯正治療で歯と歯の距離を縮める事と、歯茎が下がっているので、歯肉を移植してボリュームを出す必要がある。また矯正の後戻りを防ぐために繋げた被せ物で修復した。